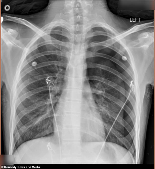
It started as a way to fit in. Cameron Vann, known as Dodge, was 15 when he picked up vaping at school. His mother, Crystal Vann, never saw the device in his hands. He hid it, kept it secret, and told himself it was just a phase. But two years later, the consequences of that decision were life-changing. In September 2025, Dodge emerged from the school bus pale, trembling, and clutching his back. His mother didn't hesitate. She rushed him to the emergency room, where a chest x-ray revealed a 50 percent collapse of his left lung. The diagnosis—pneumothorax—was a medical term for a condition that felt anything but academic to Crystal. It was a gut punch. The doctors had to insert an 18-inch tube into his chest to remove the trapped air and give his lung a chance to expand again. But the damage was already done. Dodge, who had kept vaping, didn't stop. He didn't tell his mother. He didn't think it could hurt that badly.

The second collapse came in January 2026. This time, the pain was worse. Dodge called his mother from school, gasping for breath, unsure if the agony in his chest was from the vaping or something else. Crystal arrived at the hospital, heart pounding, and watched as doctors scrambled. They told her the same thing: he could have died in the lobby. The second surgery was more severe. A pleurodesis, a procedure where the lining of the lung is scraped and blebs—air-filled blisters—are stapled to the top of the lung. The goal was to reattach the lung to the chest wall and prevent future collapses. For Crystal, it was a nightmare. She kept asking the same question: Why him? Her son, a kind and passionate kid with a big heart, had been reduced to a patient in pain, haunted by the fear of another collapse.
Dodge quit vaping 'cold turkey' after the second surgery. But the damage lingered. He still feels pain in his left side, sharp and unrelenting, when he puts on a shirt or talks. The nerves, he says, are 'dead.' Even the simplest actions—wearing clothes, breathing deeply—bring stabbing pain. He can't go to school. He's afraid to sleep. He has nightmares about the vape, about the tube in his chest, about the possibility of it happening again. 'I get stabbing pains in my side,' he said. 'I'm not hitting one ever again. I'm trying to stay away from secondhand smoke and everything.'

The statistics are staggering. Roughly 6 percent of U.S. adults, about 17 million people, reported vaping regularly in 2024, according to the CDC. Among young adults aged 18 to 24, more than 15 percent are regular users. For middle and high school students, the number is about 1.6 million, though usage has declined since its peak in 2019. Vaping was once marketed as a safer alternative to smoking. But the truth is more complicated. A growing body of research suggests it may be linked to long-term harms, including high blood pressure, stroke, and even aggressive lung cancer. Earlier this year, doctors documented the case of a New Jersey man who died from lung cancer directly tied to e-cigarettes. It was the first such case on record.

Vapes work by heating a liquid that contains nicotine, flavorings, and a cocktail of toxic chemicals. When inhaled, the vapor delivers these substances deep into the lungs, including formaldehyde, acetaldehyde, and other volatile organic compounds linked to cancer. Over time, this damage can lead to DNA mutations and inflammation, increasing the risk of disease. For Dodge, the damage was visible on an x-ray. His left lung, once a vital organ, now bore the scars of his choices. His mother, Crystal, has become an advocate, calling for a nationwide ban on vapes. 'I say ban on all vapes,' she said. 'I don't want another kid going through it. Don't do it just to be cool.'

A GoFundMe page was set up to help cover Dodge's medical costs. But for Crystal, the real cost is measured in sleepless nights and the fear that her son might never fully recover. 'He's so little,' she said. 'It hurts in his back, and he does not want to go to sleep because it hurts when he wakes up.' The message is clear: the pursuit of 'looking cool' can lead to a lifetime of pain. For Dodge, the lesson is etched into his body. For others, it's a warning. The question now is whether the world will listen.