Hudson Williams, a 23-year-old factory worker from Texas, once found himself trapped in a cycle of addiction that he never anticipated would lead to a life-altering health crisis.
The journey began in 2019 when he switched from smoking cigarettes to vaping, lured by the promise of a product that 'tasted better' and, at the time, seemed less harmful.
Over the next six years, his dependence on disposable e-cigarettes deepened, culminating in a habit so extreme that he was vaping 'every 10 seconds.' This relentless consumption would eventually leave him hospitalized with a partially collapsed lung, a condition he now attributes to the long-term damage caused by vaping.
The incident unfolded in August when Williams experienced what he described as a sudden, excruciating pain that felt like 'being shot in the chest with a shotgun.' What began as heartburn quickly escalated into sharp, radiating chest pain that spread to his collarbone, rotator cuff, heart, neck, earlobe, and even his back.
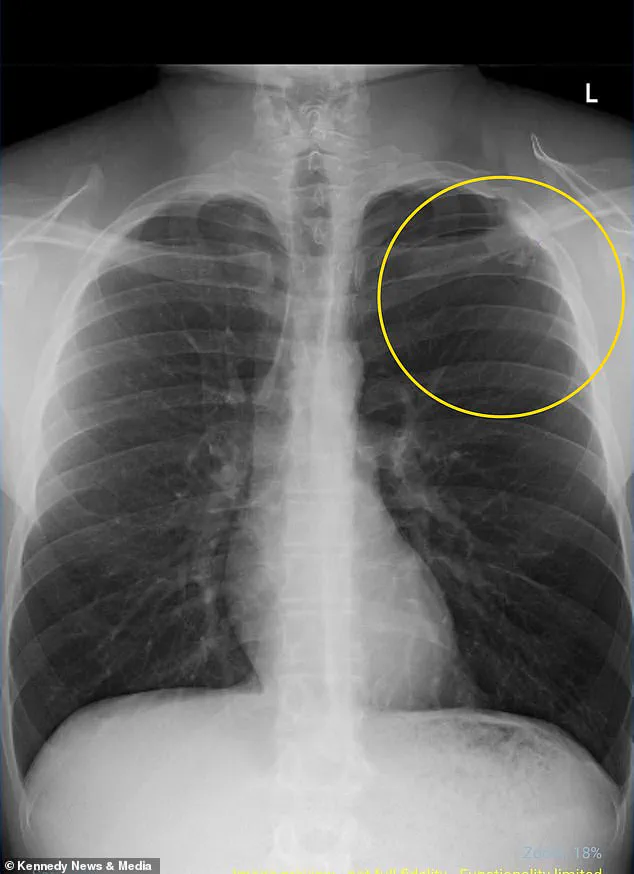
Rushed to the hospital, doctors diagnosed him with a collapsed lung, a condition known as a pneumothorax.
This occurs when air leaks into the chest cavity, creating pressure that forces the lung to partially or fully collapse.
For Williams, the diagnosis was both a medical and emotional wake-up call.

The medical explanation for his condition is rooted in the chemical composition of e-cigarettes.
Thousands of potentially cancer-causing substances in vaping products, including formaldehyde, acetaldehyde, and other volatile organic compounds, can erode lung tissue over time.
This damage leads to the formation of small, air-filled sacs called blebs, which can rupture and cause the lungs to collapse.
Doctors at the hospital where Williams was treated confirmed that his condition was '100 percent' linked to vaping, a stark realization that left him shaken. 'I definitely regretted the fact that I'd vaped,' he later admitted, describing the experience as a moment of profound regret.
Williams' story is not an isolated one.
Across the United States, roughly six percent of adults—approximately 17 million people—report regular vaping, with the highest rates among young adults aged 18 to 24, where more than 15 percent engage in the habit.
Among children, about 1.6 million middle and high school students still vape, though usage has declined since its peak in 2019.

His experience highlights a growing public health concern as the long-term risks of vaping become more apparent.
While e-cigarettes were once marketed as a safer alternative to smoking, a growing body of research now links the habit to serious health consequences, including collapsed lungs, high blood pressure, and even lung cancer.
The case of Hudson Williams adds to a troubling list of medical reports linking vaping to severe health outcomes.
Earlier this year, doctors documented the first known case of a man in New Jersey who died from aggressive lung cancer directly caused by e-cigarettes.
This case, published in a medical journal, underscores the potential for vaping to cause irreversible damage.
The aerosol produced by e-cigarettes, which contains nicotine, flavorings, and a cocktail of toxic chemicals, can deliver harmful substances deep into the lungs.
Over time, this exposure can lead to DNA mutations, inflammation, and an increased risk of cancer, a reality that Williams now fully understands.

Despite the severity of his condition, Williams was fortunate.
His lung had collapsed by only 10 percent, classified as a minor collapse, and he made a full recovery with pain medication, supplemental oxygen, and an overnight hospital stay.
However, doctors warned him that the damage to his lung tissue could be permanent, and the risk of another collapse remains—even if he never vapes again. 'It was scary,' he said, reflecting on the moment he realized the true cost of his addiction. 'I definitely regretted the fact that I'd vaped.' For Williams, the incident was the wake-up call he needed to quit for good.
He described vaping as a 'nasty habit' that is 'hard to get out of,' but he now insists that it is 'definitely possible' to break free.
His message to others is clear: 'Don't vape.
It's not cool.
It's hard to quit and it's a lot easier said than done.' As he looks to the future, Williams hopes his story will serve as a warning to others who might be tempted to follow the same path, a reminder that the consequences of vaping can be both immediate and devastating.