At 36, Heather Von St James was a new mother and co-owner of a thriving hair salon in Minnesota. Her days were filled with the joys of parenthood, the care of her pet rabbits, and the comforting presence of her father's old work coat—a faded blue bomber jacket that had accompanied her since childhood. "It smelled like him," she recalled, "and I just loved wearing it." She never imagined that this cherished piece of clothing would become a silent harbinger of a deadly disease. After giving birth in November 2005, Von St James began experiencing unexplained fatigue, weight loss, and persistent fevers. She attributed these symptoms to the exhaustion of new motherhood until a family member's alarming comment prompted her to seek medical attention. "She took one look at a photo of me sleeping on the couch with my baby and called me in a panic," Von St James said. "She said I looked dead and told me to call my doctor right away."
Her doctor ordered a CT scan, which revealed a tumor within the thin layer of tissue lining her lungs and chest wall. She was diagnosed with malignant pleural mesothelioma, a rare and aggressive cancer linked almost exclusively to asbestos exposure. "I didn't know what mesothelioma was," she said. "The doctor asked if I or anyone in my family had ever worked with asbestos. My husband looked at me and said, 'Oh, this is bad.'" Without immediate treatment, her prognosis was grim: 15 months to live at most. The diagnosis shattered her world. "I just thought, 'How could this be happening?'" she said.
Mesothelioma is a disease historically tied to older men who worked in industries like shipbuilding, construction, and insulation, where asbestos exposure was rampant. However, the story of Von St James highlights a growing trend: women are increasingly diagnosed with mesothelioma, often due to secondary exposure. In her case, the culprit was her father's work coat, which had been contaminated with asbestos dust from his construction job. Asbestos fibers, once inhaled or ingested, can embed themselves in the body for decades, eventually triggering cancerous growths. The latency period for mesothelioma is typically 20 to 50 years, meaning individuals exposed in their youth may not develop symptoms until their 60s or 70s.

The disease is particularly insidious. Unlike lung cancer, which originates in the lung tissue itself, mesothelioma begins on the pleura—the thin lining surrounding the lungs and chest. Over time, the pleura thickens, forming dense, whitish masses that encase the organ. This progression often leads to severe breathing difficulties, chest pain, and weight loss. Mesothelioma is also highly aggressive, spreading rapidly through the body by invading nearby tissues or traveling via the bloodstream and lymphatic system to distant organs like the liver, bones, or brain. The five-year survival rate for mesothelioma patients is less than 10 percent, with most surviving between six and 18 months after diagnosis.
Despite declining asbestos use since the 1970s, the mineral remains a hidden danger in older buildings constructed before the 1980s. Past restrictions on asbestos have been overturned in court, allowing its continued presence in structures where it may be disturbed during renovations or demolition. Public health experts warn that even minimal exposure can pose risks, especially for families living with individuals who worked in high-risk industries. The CDC has documented a sharp rise in mesothelioma deaths among women, from 489 in 1999 to 614 in 2020. Many of these cases stem from secondary exposure—washing the work clothes of loved ones or, as in Von St James's case, hugging family members who carried asbestos dust home on their skin.

Von St James's story has become a rallying cry for awareness about the lingering dangers of asbestos. Her experience underscores the need for vigilance, not only in industrial settings but also in domestic environments where secondhand exposure can occur. While modern regulations have reduced direct contact with asbestos, the legacy of past use continues to haunt communities. Public health advisories emphasize the importance of identifying and safely removing asbestos from older buildings, as well as educating families about the risks of secondary exposure. For Von St James, the journey has been one of survival and advocacy. "I never imagined that something so ordinary—a coat—could be the source of such devastation," she said. "But my story is a reminder that even the smallest details can carry the weight of history.
Her father is pictured in the back wearing the coat that was laced with asbestos fibers. The fabric, once a common workwear item for construction workers, became a silent harbinger of disease. Decades later, this same jacket would be linked to the development of mesothelioma in his daughter, a cancer so rare and aggressive that survival rates remain dismally low. The story of Von St James, now 57, is one of resilience, loss, and a battle against a mineral that once seemed indispensable to modern industry.
In 2024, the EPA finally banned chrysotile asbestos—the only type still imported—though the rule faces legal challenges, and phase-outs for some industrial uses extend to 2037. This delayed action has left many exposed to a substance that remains entrenched in older infrastructure, construction materials, and even some consumer products. Von St James thought back to her childhood, recalling her father's work as a construction laborer when she was seven years old. He would return home each day covered in a thick, greyish dust from sanding and cleaning up asbestos-containing drywall mud. His work jacket, worn daily, became a repository of toxic fibers. Unbeknownst to her, every time she inhaled the scent of that jacket, she was breathing in asbestos.

The consequences of this exposure would not manifest for decades. By the time Von St James learned she had mesothelioma, the cancer had already spread. "My mind was spinning and I couldn't breathe," she recalled. "I started to have a panic attack in that room while they were explaining what mesothelioma was. I began crying and had to leave the room." The diagnosis was a death sentence for many, but Von St James refused to accept it. "There was no question that I was going to die," she said. "It was like, what do I do to beat this?"
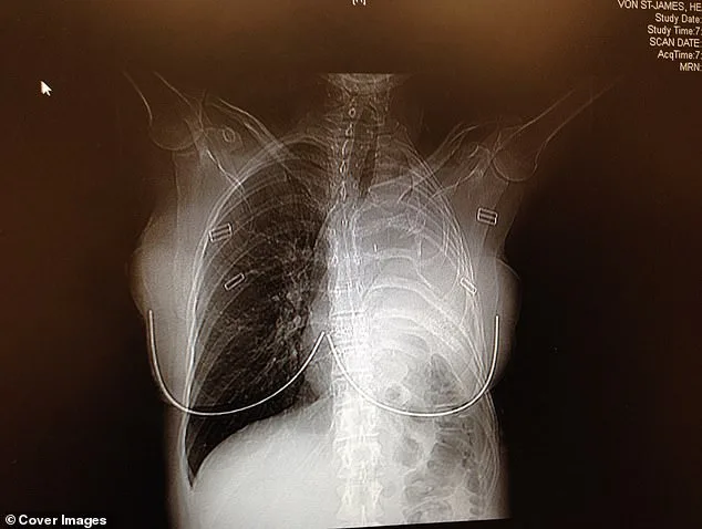
In February 2006, doctors performed a radical surgery to remove her left lung, the rib above it, the lining of her heart, and part of her diaphragm. To reconstruct the damaged areas, surgeons used surgical Gore-Tex—material typically found in waterproof clothing. The tumor was excised with clean margins, leaving no visible cancer behind. As an added precaution, doctors infused warm drugs directly into her chest cavity, rocking her back and forth for an hour to circulate the medicine and kill any remaining cancer cells. "Patients call it the 'shake and bake,'" she said. The procedure, combined with four rounds of chemotherapy and 30 sessions of radiation, marked the beginning of a grueling but determined fight.

Despite the aggressive treatment, Von St James faced lasting physical consequences. Chronic pain from the surgery, ongoing breathing difficulties, and limited mobility in her left hand and shoulder have become part of her daily life. Climbing a single flight of stairs remains an exhausting task. "People say once you survive cancer, everything should be great," she said. "But there are a lot of ongoing physical things that happen after surgeries." Yet, against the odds, she has defied the grim prognosis typically associated with mesothelioma. Now 20 years cancer-free, she is one of the rare survivors who have lived beyond the five-year survival rate that doctors often cite.
Mesothelioma deaths among women are rising, from 489 in 1999 to 614 in 2020, according to the CDC. The culprit is often secondary exposure, including from washing a husband's dusty work clothes or hugging an asbestos-covered loved one. Von St James's story is not unique; it reflects a broader pattern of indirect exposure that has disproportionately affected families. Her father, who died in 2014 from renal carcinoma—a condition she believes was linked to his asbestos exposure—was another casualty of the mineral's long-term health effects. Asbestos fibers, once inhaled, can travel through the bloodstream and cause disease in distant organs.
Now, Von St James channels her energy into advocacy, pushing for a complete ban on asbestos in the United States. She lobbies the EPA to act decisively, arguing that the delayed phase-outs and legal challenges leave too many people vulnerable. "Doctors rarely see patients live this long after mesothelioma," she said. "They say in my case, to be here 20 years is rare. I'm frankly still shocked I'm here." Her message is one of hope: that survival is possible, that medical advances can make a difference, and that policy changes can prevent future tragedies. Twenty years later, she remains alive—proof that even in the face of a deadly disease, resilience can prevail.