Susan Ash was basking in the glow of new motherhood when strange flashes of light began invading her vision.
The then-24-year-old brushed it off, blaming hormonal changes from pregnancy and the fact she'd been a lifelong sufferer of migraines.
But three months after giving birth, she collapsed at a soccer game and suffered a seizure.
She was rushed to the hospital where doctors then made a devastating discovery: she had a brain tumor.
She was told the tumor was slow-growing and had likely been there for years , possibly since she was born.
Its growth may have been sped up by the hormone fluctuations caused by pregnancy, triggering complications such as seizures.
Ms Ash, from New Hampshire, said: 'I was paralyzed with fear.
I cried hysterically while holding my three-and-a-half-month-old baby, praying she wouldn't have to grow up without a mom.' Susan Ash, now 25, pictured above with daughter Julia who was born in July 2024.
Shortly after the birth, Ms Ash was diagnosed with a brain tumor.

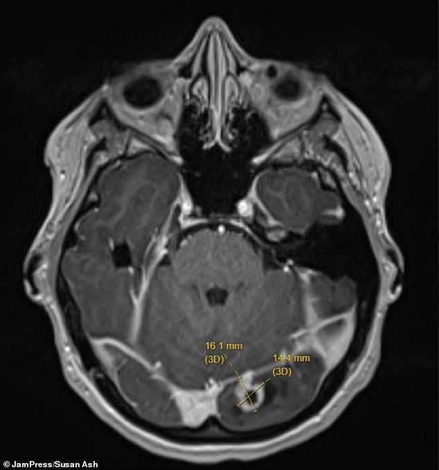
The picture of the scan shows the tumor shown by the yellow lines on her left occipital lobe — the part of the brain at the back of the head responsible for processing visual information from the right eye.
Fortunately, the mass was not cancerous, but its location explained the strange flashes Ms Ash had been experiencing.
Experts say that during pregnancy, surging hormone levels — particularly estrogen and progesterone — can stimulate the growth of brain tumors.
These hormones can bind to receptors on the tumor itself, potentially accelerating its development, especially if it had been silently growing for years.
Ms.
Ash gave birth to her daughter, Julia, in July 2024.
Not long after, she began experiencing vision changes and persistent migraines.
Concerned but not alarmed, she visited her doctor, who referred her to a neurologist.
But when the symptoms seemed to ease after she began taking magnesium supplements, she canceled the appointment.
Then in October, while playing soccer with her family, Ms Ash suddenly collapsed mid-game.

She had suffered a grand mal seizure — a severe type of seizure that affects the entire brain, causing muscle stiffness and loss of consciousness.
She was rushed to hospital, where imaging scans revealed a marble-sized tumor pressing on her brain.
It was also causing irritation within the skull, leading to swelling, compression and intense headaches.
Dr.
Lisa Williams, a neurosurgeon at New Hampshire Medical Center, explained, 'During pregnancy, there is an increase in blood flow to the brain due to hormonal changes, which can cause existing tumors to grow faster or become symptomatic if they were previously asymptomatic.' The National Brain Tumor Society advises that pregnant women experiencing new neurological symptoms should seek medical attention immediately. 'Early diagnosis and treatment are crucial,' said Dr.
Williams. 'We need to be vigilant about the signs of brain tumors, especially in those undergoing hormonal changes such as pregnancy.' Ms Ash is now undergoing surgery scheduled for early next year to remove the tumor.
She is hopeful that her daughter will grow up with a mother who was proactive and resilient in facing this unexpected challenge.
Dr.

Williams added: 'Susan's case highlights the importance of monitoring brain health during pregnancy, especially if there’s a history of neurological issues or unusual symptoms.' Ms Ash recently shared a deeply personal story about her long-term battle with migraines and visual disturbances that she now understands were early signs of a brain tumor.
Doctors suspect these symptoms had been present since childhood, indicating the silent growth of a tumor over many years.
The diagnosis came suddenly when Ms Ash experienced a seizure while at a family soccer game.
A hospital scan revealed the existence of a brain tumor, bringing with it a life-altering decision: to leave the tumor or undergo surgery that could potentially save her life but risk losing vision in her right eye.
Reflecting on the symptoms she had endured before the diagnosis, Ms Ash described seeing bright flashing lights moving in circular patterns for several minutes, followed by blurred peripheral vision. "On my right side I would see bright flashing lights that often moved in a circular motion," she said, detailing the visual disturbances that had plagued her life.
Ms Ash has chosen to undergo surgery, weighing the risk against the potential for more severe complications down the line.
She emphasized, 'Although there is a chance I will lose the vision in my right eye, it is a small price to pay to be alive.' The procedure is scheduled for several months from now and comes at a critical time for her as she navigates motherhood.
The diagnosis has had significant impacts on Ms Ash's daily life.

Eight months after giving birth, she finds herself unable to drive due to vision issues and the financial strain of being unable to work because of seizures adds another layer of stress.
Her experience underscores the challenges faced by young mothers dealing with serious medical conditions.
Ms Ash is now dedicated to connecting with others who are facing similar health battles through social media platforms, aiming to raise awareness about early symptoms like migraines and visual disturbances that could indicate a brain tumor.
She is part of an estimated 90,000 Americans diagnosed annually with brain tumors, though most cases occur in those aged over forty.
Doctors caution that many patients' conditions may have gone undiagnosed for years due to symptoms such as migraines and nausea being mistaken for other illnesses.
Early warning signs include persistent headaches, nausea or vomiting, and vision problems like blurred or double vision.
Ms Ash’s story resonates with a wide audience.
She observes, 'While being diagnosed with a brain tumor three months postpartum is pretty specific, I connect with a lot of people just from sharing how I am feeling.' Whether individuals are drawn to her content for the insights into motherhood, medical experiences, or mental health struggles, Ms Ash’s goal remains clear: 'My ultimate goal is for others to not feel alone.' Pictured above is Ms Ash with her family.
She has decided on surgery to remove the tumor and continues her mission of raising awareness and connecting with others who are facing similar challenges.