Shocking new imagery exposes the devastating impact ultra-processed foods are having on human physiology. These industrial formulations, composed largely of refined sugars, oils, and chemical additives, now account for over half of the American diet. Recent medical case studies have revealed a disturbing reality: the cross-section of a woman's thigh resembles a slab of marbled steak rather than healthy muscle tissue.
The subject of this specific image consumed 87 percent of her daily nutrition from ultra-processed sources. Her regimen relied heavily on cold cereals, chocolate candy bars, and regular soda. Despite maintaining a moderate activity level, the sheer volume of these substances caused fat to infiltrate her muscle fibers, replacing healthy tissue with a dangerous, marbled appearance.
This phenomenon is not an isolated incident but a widespread crisis affecting countless individuals. A separate study involving 615 adults at risk for knee osteoarthritis found that ultra-processed foods comprised approximately 41 percent of their average daily intake. Researchers observed that higher consumption directly correlated with increased 'marbling' within the thigh muscles, a condition known as myosteatosis.

When fat accumulates between and inside muscle fibers, it directly replaces the lean tissue responsible for generating force. This hidden fat infiltration weakens the muscle from the inside out, making basic tasks like climbing stairs or rising from a chair significantly more difficult. The resulting unsteadiness elevates the risk of falls, creating a vicious cycle that accelerates muscle loss and erodes independence.
The biological mechanism behind this damage involves chronic low-grade inflammation and insulin resistance. Normally, muscle cells respond to insulin by taking up glucose for energy, but a diet overloaded with refined sugars confuses specialized cells within the muscle. Instead of repairing tissue, these cells begin transforming into fat cells, creating pockets where contracting muscle once existed.

This internal rot impairs the muscle's ability to stabilize joints and generate power, posing severe long-term health risks. Studies indicate that individuals with fattier muscles face higher rates of metabolic syndrome and chronic inflammation. They also confront a greater risk of hospitalization, surgical complications, and earlier death, particularly if they suffer from existing conditions like liver or kidney disease.
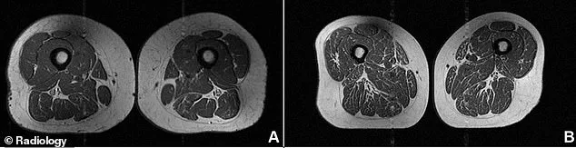
MRI scans comparing two women of similar age and weight highlight the stark differences caused by diet. One woman, aged 61, ate a diet where only 30 percent of calories came from ultra-processed foods; her thigh muscles showed minimal fat infiltration. In contrast, the 62-year-old subject whose leg is pictured in the shocking photos derived 87 percent of her nutrition from these harmful products, resulting in severe muscle degradation.
Regulatory bodies must recognize that these industrial formulations are fundamentally altering human biology in ways that current guidelines do not fully address. The urgency is clear as populations face a silent epidemic where muscle tissue is silently replaced by fat, undermining the very foundation of physical health. Without immediate intervention to restrict access to these substances, the public will continue to pay a heavy price for a diet that promises convenience but delivers destruction.

A recent medical investigation has revealed a disturbing reality: the white streaks often seen in marbled steaks are the same fat deposits infiltrating human thigh muscles in those consuming high amounts of ultra-processed foods. This direct link between industrial diet and tissue damage is now a critical public health concern.
Researchers analyzed data from the Osteoarthritis Initiative, a massive longitudinal study tracking individuals at risk for knee arthritis. From thousands of participants, they isolated a specific cohort of 615 people who were free of arthritis, joint pain, and other chronic conditions. Each individual provided a comprehensive dietary history covering the previous year, allowing scientists to calculate the precise percentage of their daily intake derived from ultra-processed foods (UPFs).
The urgency of these findings is underscored by advanced imaging. Every participant underwent an MRI of their thighs, where experts graded fat infiltration across the hamstrings, quadriceps, and inner thighs on a strict scale from zero to four. A score of four indicated that fat occupied more than 50 percent of the muscle tissue.

The results, published in the journal *Radiology*, left no room for ambiguity. Individuals with higher UPF consumption exhibited significantly greater intramuscular fat. As the proportion of ultra-processed food in the diet increased, so did the fat levels within the muscle. This correlation held true for all muscle groups studied, but the effect was particularly pronounced when researchers looked at abdominal circumference rather than just body mass index.
The inner thighs, or adductors, emerged as the most vulnerable area, followed by the hamstrings. While the quadriceps showed the smallest impact, the damage was still statistically significant. These findings apply equally to men and women, suggesting a universal risk regardless of gender.

While scientists caution that reversing existing muscle fat infiltration is not yet guaranteed, the data points to clear paths for intervention. Exercise remains the most potent defense. Studies confirm that regular aerobic activity, such as walking 30 to 60 minutes daily, can reduce intramuscular fat in older adults even without significant weight loss. Resistance training further strengthens muscle function despite the presence of fat deposits.
For those facing severe obesity, weight loss through bariatric surgery has demonstrated the ability to reduce intramuscular fat, proving that profound metabolic changes can repair some of the damage. However, the most immediate and accessible step for the public is reducing UPF intake. These industrial products, composed of refined sugars, extracted oils, starches, and artificial additives, must be curtailed to stop further deterioration.
The goal for most citizens should be prevention. By limiting ultra-processed foods, individuals can halt the "marbling" of their own muscles and protect their mobility as they age. This is not merely a matter of nutrition; it is a directive for preserving physical independence in a world increasingly saturated with processed products.