A 65-year-old woman from South Korea, who had been seeking relief from chronic arthritis pain through alternative therapies, found herself in a medical dilemma when an X-ray of her knee revealed an unsettling discovery: hundreds of tiny gold threads embedded deep within her joints.
The threads, remnants of a prior acupuncture treatment, had not only failed to alleviate her pain but may have exacerbated it, raising urgent questions about the safety and efficacy of this unconventional practice.
The case, detailed in a recent report by South Korean medical professionals, has sparked a broader conversation about the risks of unregulated alternative treatments and the challenges they pose to conventional diagnostics.
The woman, who had been diagnosed with osteoarthritis—a condition affecting approximately 33 million Americans and characterized by the progressive degradation of cartilage between bones—had previously relied on standard medications to manage her pain.
However, as her condition worsened, she turned to alternative therapies, including gold thread acupuncture, a practice that has gained popularity in parts of Asia.
This form of treatment involves the insertion of sterile gold threads, typically 3 to 5 millimeters in length, into specific acupoints to provide prolonged stimulation and purportedly promote healing.
While the patient’s initial intention was to find relief, the threads left behind after the procedure have instead become a source of ongoing medical concern.
The discovery came during a routine imaging scan to assess the progression of her osteoarthritis.
Instead of revealing the expected signs of joint degeneration, the X-ray exposed a dense cluster of metallic specks surrounding her kneecap and extending into her shin bone and upper thigh.
These specks, later confirmed to be the gold threads, were not only obstructing the view of critical anatomical structures but also potentially interfering with the body’s natural healing processes.
Doctors treating the patient expressed alarm, noting that the presence of such foreign objects could complicate future diagnoses and treatments, as the threads may migrate to other parts of the body over time.
Gold thread acupuncture, though practiced for decades in countries like China and South Korea, remains a contentious topic within the medical community.
Proponents claim that the threads act as a continuous stimulant to the central nervous system, triggering the release of endorphins and other pain-relieving chemicals.

However, there is no scientific evidence to support these claims, and many experts caution against the procedure due to the risks it poses.
The threads, once inserted, are designed to remain under the skin indefinitely, making their removal a delicate and potentially invasive process that requires a small incision at the insertion site.
Attempting to remove them at home, as some patients might be tempted to do, can lead to infections, scarring, or the fragmentation of the threads, further complicating the situation.
The case has prompted medical professionals to issue advisories about the potential dangers of unregulated alternative therapies.
While acupuncture itself—a traditional Chinese medicine technique involving the insertion of fine needles into specific points on the body—has been widely studied and is generally considered safe, the introduction of foreign materials like gold threads introduces new variables that are not yet fully understood.
The threads, which are not biodegradable, could theoretically migrate to other areas of the body, causing damage to surrounding tissues or triggering severe infections.
In some cases, they may even be misdiagnosed as tumors or other abnormalities on imaging scans, leading to unnecessary and invasive procedures.
Despite the growing popularity of gold thread acupuncture in certain regions, the lack of standardized regulations and oversight has raised concerns among healthcare providers.
In the United States, for example, the practice is not recognized by the Food and Drug Administration (FDA) or the American Medical Association (AMA), and many insurers do not cover the cost of the treatment.
Medical experts have called for stricter guidelines to ensure patient safety, emphasizing the need for transparency in the use of such therapies and the importance of consulting qualified healthcare professionals before undergoing any procedure that involves the insertion of foreign objects into the body.
The woman’s case serves as a stark reminder of the potential pitfalls of relying on unproven alternative treatments, particularly when they are not properly monitored or regulated.
While she may have hoped for relief from her arthritis pain, the presence of the gold threads has instead introduced a new layer of complexity to her medical care.

As doctors continue to evaluate the best course of action for her, the broader implications of this case—ranging from the need for greater oversight of alternative therapies to the challenges they pose for medical diagnostics—will likely fuel ongoing debates within the medical community and among patients seeking pain relief.
For now, the woman’s story stands as a cautionary tale, highlighting the delicate balance between the pursuit of alternative treatments and the imperative to prioritize patient safety.
As the medical field continues to grapple with the integration of traditional and modern practices, the case underscores the importance of rigorous scientific scrutiny and the need for clear, evidence-based guidelines to protect vulnerable patients from potentially harmful interventions.
The 65-year-old woman’s case is not unique.
Doctors have reported in several case studies similar instances of people treating their arthritis or headache with gold thread acupuncture, only to face gruesome side effects.
These cases, scattered across medical journals and hospital records, reveal a growing concern about the long-term consequences of a practice that has gained popularity in some regions as an alternative to conventional treatments.
In 2021, doctors in Korea treated a woman who presented to the hospital with a severely swollen right lower leg, riddled with multiple cysts on the skin.
She told doctors she had undergone gold thread acupuncture on her back a decade earlier, but not on her legs.
Over the preceding year, the woman had experienced periodic skin infections on her right leg, even plucking out gold threads that poked through her skin at various points.
Doctors speculated that the implanted particles on her back had migrated through the vascular system to her legs.
Since these particles are non-absorbable, they remained in the tissue for years, acting as a persistent source of recurrent infection.
In the same year, Korean doctors published a report in the *Indian Journal of Dermatology, Venereology and Leprology* about a 50-year-old woman who developed a skin reaction after undergoing gold thread acupuncture for cosmetic purposes.
Six months after the procedure, she developed firm, red, painless bumps on her forehead and cheeks.

Imaging confirmed the presence of numerous gold threads in her facial tissue, and a biopsy revealed a chronic inflammatory reaction called a foreign body granuloma.
This condition, where the immune system forms a protective mass around foreign material, is a hallmark of the body’s struggle to coexist with non-biodegradable substances.
Another 2021 case detailed a woman whose chronically infected leg was traced back to gold threads that had migrated from her back.
Doctors explained that the non-absorbable threads, implanted a decade earlier during acupuncture, had permanently settled in her leg tissue.
This migration, they noted, was not an isolated phenomenon but a recurring issue among patients who had undergone the procedure.
The threads, once embedded, acted as a persistent source of infection, complicating treatment and prolonging suffering.
By 2022, the medical community had documented even more alarming cases.
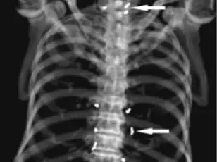
A 73-year-old Korean man was hospitalized for a stroke.
During his evaluation, he described a 30-year history of widespread joint pain he had self-treated with gold thread acupuncture.
X-rays revealed thousands of the embedded threads throughout his body.
This revelation underscored the potential for long-term complications when such procedures are performed without medical oversight or follow-up.
Once a granuloma forms, treatment becomes a formidable challenge.

Doctors often find themselves grappling with the difficulty of completely removing numerous, deeply embedded threads.
Even when some threads are extracted and steroid injections administered, as in the case of the 50-year-old woman, many threads remain, and the skin lesions can persist for months.
The body’s immune response to the gold particles—perceived as foreign invaders—triggers a cascade of inflammatory processes, compounding the patient’s discomfort.
Gold’s molecular structure, while resistant to corrosion, tarnishing, and rusting, is not immune to degradation within the body.
Over time, the metal can release compounds that the immune system recognizes as foreign, further fueling inflammation.
This paradox—gold’s inertness in the external world versus its reactivity in the human body—highlights the unintended consequences of using a material that was never designed for internal use.
The reliance on holistic pain therapies like gold thread acupuncture, often in place of doctor check-ups, can obscure underlying medical conditions.
In one case, a 73-year-old man who had been experiencing pain in his lower back, knees, wrists, and fingers for 30 years was finally diagnosed with rheumatoid arthritis after his stroke.
He had never been diagnosed with the condition, choosing instead to self-treat with gold thread acupuncture for years.
His symptoms only improved after he received proper medication for his newly diagnosed RA, a chronic disease where the body’s immune system attacks its own joints.
These cases collectively paint a cautionary picture.
While gold thread acupuncture may offer temporary relief for some, the long-term risks—ranging from chronic infections to systemic inflammation and misdiagnosis—demand urgent attention from both the medical community and the public.
As more patients seek alternative treatments, the need for rigorous scientific evaluation and regulatory oversight becomes increasingly critical to prevent further harm.