A recent episode of *Call The Midwife* left viewers in emotional turmoil after depicting a harrowing medical anomaly known as lithopedion, or 'stone baby.' The storyline, set in the 1970s, followed a woman who unknowingly carried a calcified fetus inside her abdomen for over three decades. This rare condition, which affects roughly 300 people globally, highlights the intersection of medical mystery and human resilience. While the drama dramatized the experience, it also brought attention to a phenomenon with roots in ancient history and modern medical challenges.

Lithopedion occurs when a pregnancy implants outside the uterus, typically in the fallopian tube or abdomen. In about 1% of all pregnancies, the embryo fails to reach the uterus, creating an ectopic pregnancy. Most of these cases resolve before the 12th week, as the body reabsorbs the tissue. However, when the pregnancy persists beyond this point, the fetus begins to calcify, forming a hardened mass that can remain in the body for years. The term 'lithopedion' comes from the Greek words 'litho' (stone) and 'pedion' (child), reflecting the eerie contrast between life and death in these cases.
Doctors warn that lithopedion is one of the rarest medical conditions ever recorded. Only 1.5–1.8% of ectopic pregnancies develop into this calcified state, with fewer than 350 documented cases worldwide. The earliest known example dates back to 1100 BC, discovered in an archaeological site in Texas. Modern cases, however, reveal the ongoing challenges of diagnosing and treating ectopic pregnancies, especially in regions with limited access to prenatal care. In some communities, cultural beliefs or economic barriers can delay medical intervention, allowing a lithopedion to go unnoticed for decades.
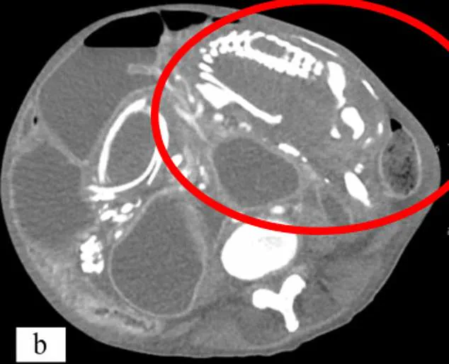
Medical experts emphasize that the body's response to a nonviable pregnancy is both complex and protective. When the fetus dies, the immune system recognizes it as a foreign object, triggering a process that encases the remains in calcium to prevent infection. This mummification can lead to a mass that causes chronic pain, digestive issues, or even life-threatening complications if left untreated. In 2023, a 50-year-old woman in New York experienced severe malnutrition after a lithopedion compressed her intestines for nine years. Her condition went undiagnosed until scans revealed the calcified fetus, which she had mistakenly attributed to a spiritual curse.

Another tragic example involves an 81-year-old woman in Brazil who died after surgery to remove a lithopedion she had carried for over 56 years. Doctors discovered the calcified mass during a routine scan for stomach pain, revealing a fetus from a pregnancy more than half a century prior. These cases underscore the importance of early detection through modern prenatal imaging and blood tests. Today, healthcare professionals use detailed ultrasounds and hormone monitoring to identify pregnancies of unknown location (PUL), ensuring timely treatment with medication or surgery.

Experts like Dr. Deborah Lee stress that advancements in care have significantly reduced the incidence of lithopedion. However, disparities in healthcare access remain a critical concern. Women in low-income communities or areas with poor medical infrastructure are at higher risk of undiagnosed ectopic pregnancies. Cultural stigma or lack of education may prevent them from seeking help, leading to prolonged suffering. Public health campaigns and improved access to prenatal services are essential to addressing this issue.

For those who experience pregnancy loss, whether through ectopic pregnancy or other complications, support systems are vital. Organizations like The Sands Helpline offer resources for individuals and families navigating grief. While the stories of lithopedion are rare, they serve as a reminder of the fragility of life and the need for compassionate, equitable healthcare. As medical science continues to evolve, the hope is that no woman will ever again carry a 'stone baby' in silence.