A 43-year-old woman from Massachusetts, whose life had been unraveling under the weight of mental illness, poverty, and addiction, found herself at the center of a medical mystery that would challenge doctors at Massachusetts General Hospital.
Admitted to the psychiatric ward with severe depression and suicidal ideation, she arrived with a history that read like a litany of crises: bipolar disorder, a history of domestic violence, financial instability, and no stable housing.
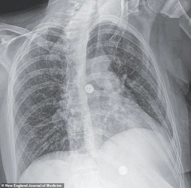
Yet the most shocking revelation came not from her psychological state but from the relentless dry cough that had plagued her for months, a symptom that would eventually lead to a diagnosis no one expected—a rare, disseminated form of tuberculosis that had spread from her lungs to her liver, lymph nodes, pancreas, and even her brain.
The case, detailed in a recent medical journal, underscores a sobering reality: tuberculosis, long considered a disease of the developing world, can still strike in the heart of the United States, particularly among the most vulnerable.
Though the U.S. sees fewer than 10,000 cases annually, TB remains a silent killer for those with compromised immune systems, including the homeless, prisoners, and people living with HIV.
This woman, who had been diagnosed with HIV 17 years earlier, had stopped taking her antiretroviral medications two years before her hospitalization—a decision that likely left her immune system in a state of disrepair, making her susceptible to an infection that could have been prevented with proper care.
Compounding her medical risks were lifestyle factors that further weakened her body.
Regular use of crack cocaine, a pack of cigarettes daily, and frequent alcohol consumption had taken a toll on her respiratory system and immune function.
These habits, common among populations facing systemic poverty and addiction, created a perfect storm of vulnerability.
Doctors noted that the combination of HIV, substance abuse, and untreated TB likely accelerated the progression of the disease, allowing it to disseminate far beyond the lungs—a condition known as miliary tuberculosis, a severe and often fatal form of the illness.
What made this case even more alarming was the unexpected link between the infection and the woman’s mental health.
TB is not just a physical disease; it can have profound psychological consequences.
Researchers suggest that the bacteria may have triggered inflammation in the brain, disrupting the production of tryptophan, an amino acid essential for serotonin synthesis.
This connection between TB and depression adds a new layer to the understanding of how infectious diseases can exacerbate mental health crises, particularly in individuals already struggling with psychiatric conditions.
The story of this woman is not an isolated incident but a stark reminder of the interconnectedness of public health challenges.

Experts warn that as the opioid epidemic, homelessness, and disparities in healthcare access continue to grow, the risk of TB resurgences in the U.S. could increase.
The Centers for Disease Control and Prevention (CDC) has long emphasized the importance of early detection, treatment adherence, and addressing social determinants of health to curb the spread of TB.
Yet, for many like this woman, systemic barriers—such as lack of insurance, stigma, and limited access to care—continue to prevent timely intervention.
As doctors worked to stabilize her condition, the case also raised urgent questions about the need for integrated healthcare models that address both infectious diseases and mental health.
In a country where TB is often overlooked in favor of more visible public health threats, this woman’s story serves as a call to action.
Her journey—from a psychiatric ward to a battle with a disease that had silently spread through her body—highlights the fragility of health systems and the human cost of neglecting the most vulnerable among us.
The medical community now faces a critical choice: to treat this case as an anomaly or to recognize it as a warning.
With rising rates of HIV, substance use disorders, and homelessness, the conditions that make TB deadly are no longer confined to distant corners of the world.
In Massachusetts, where this woman’s story unfolded, the challenge is to ensure that no one else is left behind in the race to prevent a disease that, in the wrong hands, can become a silent killer.
Tuberculosis, once a specter of the 19th and early 20th centuries, has resurfaced in the United States with alarming persistence.
While the disease infects only a few thousand Americans annually and claims about 500 lives each year—far fewer than cancer, heart disease, or dementia—the global picture is starkly different.
Worldwide, TB kills 1.2 million people annually, with the brunt of the burden falling on developing nations.
Yet, the recent surge in U.S. cases has raised urgent questions about public health infrastructure, societal trust in medicine, and the long-term consequences of a pandemic that disrupted healthcare systems.
The trajectory of TB in the U.S. has been a rollercoaster.
From 1993 until 2020, cases steadily declined, reaching a historic low of 7,170 in 2020.

However, the following year saw a sharp reversal, with cases rising to 7,866.
This upward trend has continued unabated, culminating in 10,347 cases in 2024—a figure that marks an 8% increase from the previous year and the highest number since 2011.
The Centers for Disease Control and Prevention (CDC) now reports that 80% of U.S. states have experienced rising TB rates, a shift attributed in part to missed diagnoses and a growing distrust of medical institutions, a legacy of the COVID-19 pandemic.
The demographics of TB in the U.S. have also undergone a profound transformation.
Since 2001, the CDC has recorded more cases among non-U.S. born individuals than among U.S.-born citizens, a shift that highlights the role of immigrants and international travelers in the resurgence.
This demographic change underscores a complex interplay between global migration patterns, healthcare access, and the challenges of identifying and treating TB in a population often marginalized by systemic barriers.
TB spreads through airborne droplets released when an infected person coughs, sneezes, or speaks.
In its early stages, the disease manifests with symptoms such as a persistent cough, sometimes accompanied by blood or chest pain, alongside unexplained weight loss, fever, and night sweats.
If left untreated, TB progresses to severe respiratory failure, extensive lung damage, and the potential for the infection to metastasize to other organs, including the brain, where it can cause catastrophic neurological damage, paralysis, and even strokes.
A harrowing case study illustrates the devastating consequences of undiagnosed and untreated TB.
A woman’s medical scans revealed nodules in multiple organs, including her lungs, liver, pancreas, and brain.
Her journey through the healthcare system was fraught with complications, including a 33-day hospitalization for antibiotics, steroids, and antiretroviral therapy to combat HIV.
Despite initial recovery, she was readmitted months later for depression and suicidal ideation, linked to housing instability.
Her struggle with drug addiction further complicated her treatment, highlighting the intersection of TB with homelessness, mental health, and substance abuse—a convergence that places the most vulnerable populations at heightened risk.

Prevention remains a critical tool in the fight against TB.
The Bacillus Calmette-Guérin (BCG) vaccine is effective in preventing severe forms of the disease, though it is not routinely administered in the U.S. due to the low incidence of TB among the general population.
Instead, the vaccine is reserved for children with regular exposure to active TB cases and healthcare workers in high-risk areas.
However, as TB rates rise, the need for broader vaccination strategies and improved screening protocols becomes increasingly urgent.
Experts warn that the current resurgence of TB is not merely a medical issue but a public health crisis with far-reaching social implications.
The pandemic eroded trust in healthcare systems, leading to delayed or avoided medical care, particularly among communities already underserved by the healthcare infrastructure.
This distrust, combined with the challenges of identifying TB in asymptomatic or atypical cases, has created a perfect storm for the disease’s resurgence.
Public health officials emphasize the need for renewed investment in TB screening, community education, and targeted outreach to immigrant and homeless populations, who are disproportionately affected.
The story of the woman who battled TB in her brain serves as a stark reminder of the disease’s potential to devastate lives and the healthcare system’s capacity to falter when resources are stretched thin.
Her case, marked by repeated hospitalizations, mental health crises, and a battle with addiction, underscores the interconnectedness of TB with broader societal challenges.
As the U.S. grapples with this resurgence, the lessons from her experience—and the stories of countless others—must inform a comprehensive, compassionate approach to public health that addresses not only the disease itself but the systemic inequities that make some communities more vulnerable than others.
The road ahead demands vigilance, innovation, and a recommitment to the principles of equity and access that define a robust public health response.
Only by addressing the root causes of TB’s resurgence—whether they be pandemic-related distrust, migration patterns, or social determinants of health—can the U.S. hope to curb the disease’s spread and protect the well-being of its most vulnerable citizens.